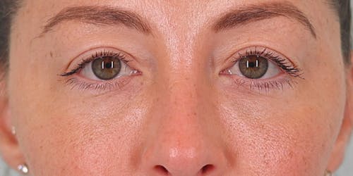
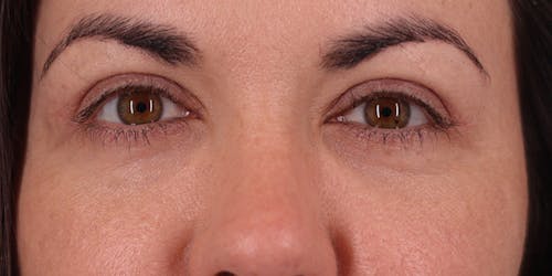
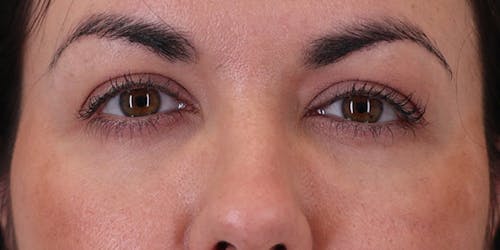
What is Winged Blepharoplasty?
Winged Blepharoplasty is an advanced eyelid surgery technique that lifts and opens the outer corners of the eyes—targeting lateral heaviness often overlooked in traditional blepharoplasty. While standard procedures address sagging or puffiness, this approach refines eye contour and symmetry, enhancing the natural shape for a more balanced, elongated gaze.
A Winged Blepharoplasty is especially effective for those with downward-slanting outer eyelids or anyone seeking sharper, more defined eye aesthetics. The procedure can be performed alone or alongside upper or lower eyelid surgery.
Born from Dr. Tripathi’s own innovation and inspired by patients who felt limited by their eye shape and struggled with winged eyeliner. This technique was created to offer both functional lift and expressive freedom, blending surgical precision with aesthetic intent.
Dr. Tripathis has been perfecting the technique over the last 5 years!



















